Рентген костей стопы в Уфе
Показания к рентгену стопы
Запись на рентген стопы нужна при таких ситуациях:
- болезненные ощущения в стопе как во время движения, так и в покое;
- деформация конечности;
- красный цвет кожи, отечность тканей, боль в области сканирования;
- невозможность наступить на ногу, выполнять прежние действия по непонятным причинам;
- риск вывиха сустава;
- выявление перелома костных структур;
- судороги в икроножных мышцах по непонятным причинам;
- аномалии (приобретенные, врожденные), подозрение на них;
- изменение формы пальцев;
- пяточная шпора;
- изменение походки;
- возникновение опухоли в зоне стопы;
- вероятность возникновения новообразования;
- плоскостопие, косолапость;
- контроль срастания костей;
- ушибы, падения, иные травмы и повреждения;
- оценка возрастных изменений в зоне интереса;
- планирование хирургического вмешательства;
- свершившееся оперативное лечение;
- мониторирование динамического течения патологического процесса;
- оценка успешности консервативной терапии.
Противопоказания к рентгенографии стопы
Рентген стопы возможен не во всех случаях. Так, отказаться от данного метода надо когда:
- установлен факт беременности;
- женщина кормит ребенка грудью;
- пациент имеет обострившиеся психические расстройства;
- имеется сильное кровотечение;
- превышено допустимое число рентгенодиагностики за последние двенадцать месяцев;
- пациент не достиг возраста 14 лет;
- выявлены гиперкинезы, тики, не позволяющие лежать без движения.
Подготовка
Перед рентгенографией стопы необходимо:
- Посетить врача в медицинском центре.
- Сообщить доктору обо всех имеющихся патологиях, прошлых операциях и травмах.
- Рассказать специалисту о несъемных посторонних предметах в теле.
- Вести обычный распорядок дня перед проведением рентгена кости стопы.
- Принять душ в число рентгенографии стопы.
- Не наносить на зону сканирования кремы, лосьоны и мази.
- Выйти из дома заранее, надев удобные вещи.
- Взять с собой в клинику паспорт, имеющиеся снимки стоп, направление.
- Снять все лишние вещи и аксессуары перед началом процедуры.
Как делают рентген стопы
Процедура проводится в любой удобный день. Предварительно осуществляется запись. В экстренных ситуациях можно сделать рентген стопы сразу при первом визите в клинику. Сканирование проходит быстро и безболезненно. Результат будет готов в короткие сроки.
В указанный день человек является в медцентр. Он проходит в регистратуру. Оформляет документы. Затем идет в рентген-кабинет. Врач встречает пациента. Проводит непродолжительную беседу. Изучает бланки.
Человек снимает обувь и одежду, которые будут мешать исследованию. Также оставляет любые металлические изделия, аксессуары, сотовый телефон. Опытный доктор отводит пациента к аппарату. Помогает принять верную позицию для получения изображений. Затем уходит в другое помещение.
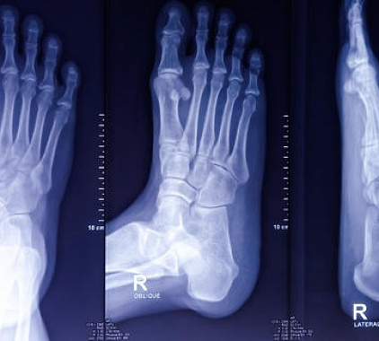
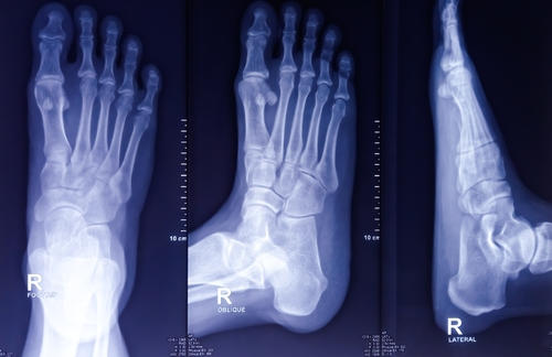
Чаще всего проводится рентген стопы в двух проекциях (боковой, прямой). Во время рентгена в прямой проекции человек лежит на спине. Ноги сгибает в коленях и ставит их на стол. При боковом рентгене стопы пациент ложится на бок. Пораженная конечность лежит на кассете. Иногда осуществляется рентген стопы в косой проекции. Человек лежит на спине. Ноги согнуты. Изучаемая конечность повернута на нужный угол.
Рентген стоп с нагрузкой выполняется для выявления и оценки степени поперечного и продольного плоскостопия. Пациент занимает вертикальное положение. Поднимает ногу. Переносит вес своего тела сначала на правую, а затем на левую конечность. В этот момент доктор получает снимки.
После обследования человек одевается и покидает кабинет. Рентгенолог тут же приступает к интерпретации полученной информации. Заполняет протокол, переносит данные на цифровые носители, печатает снимки.
Расшифровка результатов
Во время расшифровки результатов доктор изучает полученные изображения. Оценивает видимые структуры, сравнивает готовые данные с рентгеном стопы в норме. Доктор диагностирует разные нарушения. Определяет их протяженность, параметры, внешний вид, очертания, характер поражения и другие особенности. Специалист пишет детальное заключение. Указывает верные рекомендации.
Рентген-снимок стопы и протокол обследования не следует анализировать самостоятельно. Необходимо передать всю информацию лечащему врачу. Доктор поставит окончательный диагноз. Он назначит лечение. Ответит на все вопросы.

Почему рентген стопы стоит делать у нас?
- Более низкое излучение, высокое разрешение, современные программы-просмотровщики рентгеновских изображений – залог безопасного исследования и точной постановки диагноза.

- Снимок и заключение врача-рентгенолога в течение часа после исследования выдаются на руки и отражаются в мобильном приложении и электронной карте пациента.

- Многопозиционное исследование в различных проекциях и положениях пациента дает возможность оценки органов в режиме реального времени.

- Вы потратите на диагностику минимум времени, и сразу после неё сможете продолжить свой день в обычном режиме, посвятив его семье, хобби или другим важным для вас вещам.

Фотогалерея
Рентген-аппарат
Цена на рентген стопы в Уфе
Пройти рентген стопы платно в Уфе возможно при посещении нашей клиники. Исследование осуществляется на современном оборудовании. Результаты точны и будут готовы в кратчайшие сроки. Стоимость услуг оптимальна для каждого. Узнать цены можно по телефону или в прайс-листе в интернете.
| Рентген стопы | 1300 р
| Записаться |
Ответы на вопросы
Как часто можно делать рентген стопы?
Кратность проведения рентгенографии зависит от клинического диагноза, состояния человека, имеющихся осложнений. Допустимую частоту рентгена стопы может определить только врач. Для контроля лечебной терапии рентген стоп ног делают каждые 6–12 месяцев. При необходимости оценки срастания костей, ухудшении самочувствия рентгенография может проводиться несколько раз за один месяц.
Сколько длится рентген стопы?
Стандартное обследование стопы в одной проекции с помощью рентгеновских лучей занимает около 15 минут. Если потребуется сделать больше изображений, выполнить рентген стоп с функциональной нагрузкой, время сканирования увеличится до 30–40 минут. На расшифровку результатов необходимости около получаса. Однако в сложных случаях, необходимости привлечения иных специалистов этот период может увеличиться.
Что видно на рентгене стопы?
Посредством рентгенограммы ступни выявляют:
- остеофиты;
- аномалии развития;
- артроз;
- признаки подагры;
- нарушение целостности костей;
- остеосклероз;
- вывихи;
- трещины;
- инородные предметы;
- остеопороз;
- плоскостопие;
- артрит;
- асептический некроз;
- гнойные процессы;
- опухоли (доброкачественные, злокачественные);
- очаги метастаз;
- косолапость;
- вальгусную деформацию первого пальца.
Лицензии

Мы осуществляем деятельность на основании медицинских лицензий в соответствии с рекомендациями Минздрава





